
Քնախտ, աֆրիկական տրիպանոսոմոզ, մարդու հիվանդություն, որի հարուցիչը Trypanosoma gambiense-ն է։
Continue reading “Քնախտ”
Քնախտ, աֆրիկական տրիպանոսոմոզ, մարդու հիվանդություն, որի հարուցիչը Trypanosoma gambiense-ն է։
Continue reading “Քնախտ”
ա) x3+y3
բ) (m+n)(m2-mn+n2)

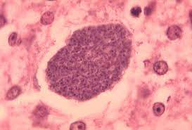
Մալարիան պրոտոզոային անթրոպոնոզ հիվանդություն է, որը բնութագրվում է տենդի նոպաներով, անեմիայով, լյարդի և փայծաղի մեծացմամբ։ Հիվանդության հարուցիչը մալարիայի պլազմոդիումներն են, որոնք փոխանցվում են Anopheles ցեղի էգ մոծակներով։ Հիվանդության օջախներ դիտվում են գերազանցապես տաք և շոգ կլիմայով երկրներում։
Continue reading “Մալարիա”
Դիզենտերիան ինֆեկցիոն հիվանդություն է, որը առաջացնում են շիգելաները, ընթանում է ինտոքսիկացիայի երևույթներով և գլխավորապես հաստ աղու դիստալ հատվածի ախտահարմամբ:
Continue reading “Դիզենտերիան “
Թեմա`Ատոմի կառուցվածքը ։ Էլեկտրոն Եվ Միջուկ
Սովորել ` էջ 92-95
Continue reading “Ատոմի կառուցվածքը։ Էլեկտրոն Եվ Միջուկ”1.Հոլովի՛ր գիրք, շուն, գինի, կին բառերը։
Ուղղական (ո՞վ, ի՞նչ) – գիրք, շուն, գինի, կին
Սեռական (ո՞ւմ, ինչի՞) – գրքի, շան, գինու, կնոջ
Continue reading “Գործնական քեր. (փետրվարի 20)”